English Français
Prophylaxie
.jpg)
Les problèmes tels que les caries et
les saignements gingivaux peuvent
être évités avec une bonne hygiène bucco-dentaire. Un contrôle régulier chez le dentiste est recommandé pour prévenir d’importants traitements, souvent compliqués et onéreux.
Nous vous offrons donc avec plaisir
nos conseils.
les saignements gingivaux peuvent
être évités avec une bonne hygiène bucco-dentaire. Un contrôle régulier chez le dentiste est recommandé pour prévenir d’importants traitements, souvent compliqués et onéreux.
Nous vous offrons donc avec plaisir
nos conseils.
Deuxième avis
.jpg)
Un deuxième avis est parfois indiqué
pour permettre un choix thérapeutique juste. Nous sommes à votre disposition pour analyser un devis gratuitement
ou, tout simplement, élaborer un plan
de traitement à moindres frais.
Nos conseils et discussions ne sont
pas facturés.
pour permettre un choix thérapeutique juste. Nous sommes à votre disposition pour analyser un devis gratuitement
ou, tout simplement, élaborer un plan
de traitement à moindres frais.
Nos conseils et discussions ne sont
pas facturés.
Blanchiment
.jpg)
Les colorations engendrées notamment par nos habitudes alimentaires (vin,
café, thé,…) sont à l’origine d’une altération de la couleur des dents.
Un blanchiment au moyen d’un kit
simple vous permet de retrouver
une teinte naturelle et esthétique
en une semaine.
café, thé,…) sont à l’origine d’une altération de la couleur des dents.
Un blanchiment au moyen d’un kit
simple vous permet de retrouver
une teinte naturelle et esthétique
en une semaine.
Détartrage
.jpg)
Plusieurs détartrages par an peuvent être indiqués pour maintenir une dentition propre et une gencive saine.
Le tartre qui se dépose engendre des colorations et des irritations qui contribuent généralement au déchaussement précoce des dents.
Le tartre qui se dépose engendre des colorations et des irritations qui contribuent généralement au déchaussement précoce des dents.
Conservation
.png)
Les résines esthétiques employées
pour nos soins dentaires donnent
un rendu parfaitement naturel
lors du traitement de caries ou
de la reconstruction d’une dent accidentée.
pour nos soins dentaires donnent
un rendu parfaitement naturel
lors du traitement de caries ou
de la reconstruction d’une dent accidentée.
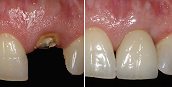
Implants
.png)
Un implant remplace généreusement
une dent qui n’a pas pu être conservée, suite à un accident ou à un délabrement avancé.
Les études cliniques démontrent
une biocompatibilité des alliages
désormais éprouvée.
une dent qui n’a pas pu être conservée, suite à un accident ou à un délabrement avancé.
Les études cliniques démontrent
une biocompatibilité des alliages
désormais éprouvée.
Orthodontie
.jpg)
Pour parfaire votre sourire,
un système orthodontique élégant existe. Il consiste en une série de gouttières transparentes qui se portent de jour comme de nuit. La discretion est donc assurée!
un système orthodontique élégant existe. Il consiste en une série de gouttières transparentes qui se portent de jour comme de nuit. La discretion est donc assurée!
Facilité de paiement
.jpg)
Le coût des soins dentaires peut se montrer dissuasif ou parfois causer
un stress budgétaire. Nous sommes ouverts à la discussion.
N’hésitez donc pas à demander une facturation par mensualités !
un stress budgétaire. Nous sommes ouverts à la discussion.
N’hésitez donc pas à demander une facturation par mensualités !
Laboratoire dentaire
.jpg)
Une équipe spécialisée nous seconde
pour l’élaboration de couronnes, recouvrements dentaires, prothèses
ou toutes autres restaurations esthétiques et fonctionnelles.
Elle vous invite à solliciter gracieusement ses conseils avisés.
pour l’élaboration de couronnes, recouvrements dentaires, prothèses
ou toutes autres restaurations esthétiques et fonctionnelles.
Elle vous invite à solliciter gracieusement ses conseils avisés.